Molecular Patterning of Mammalian Organogenetic Fields
Development of all organs involves precisely controlled cell-cell interactions that are regulated by specific transcription factors and intercellular signaling pathways. We found that the odd-skipped family transcription factors Osr1 and Osr2 play critical roles in patterning organogenetic fields in mice.
Osr1 is expressed throughout the intermediate mesoderm during early mouse embryogenesis, and its expression domain is gradually restricted to nephrogenic mesenchyme of the developing metanephric kidney. We generated Osr1 knockout mice and found that these mutant mice failed to initiate metanephric kidney development. In addition, Osr1 mutant mice had defects in other intermediate mesoderm derived organs, including adrenal glands, mesonephros and gonads. We have recently generated Osr1 conditional mutant mice and will carry out detailed dissection of Osr1 function and molecular pathways in organogenesis and progenitor cell maintenance in the intermediate mesoderm.
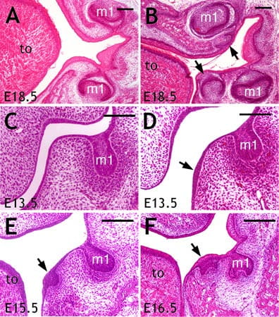
Osr2, on the other hand, exhibits a unique gradient expression pattern surrounding the developing molar tooth germs. Through detailed phenotypic and molecular genetic analyses, we found that Osr2 plays a critical role in restricting tooth development in a single row. Recently, we found that Osr2 interacts with multiple transcription factors, including Msx1, Pax9 and Runx2, involved in the regulation of tooth inductive signals. We are using laser capture microdissection of specific regions of the developing tooth germs and microarray / RNAseq approaches in combination with compound mutant mouse studies to characterize the roles and interactions of these transcription factors in patterning the tooth developmental field.
Together, these studies of intermediate mesoderm organogenesis and tooth development will lead to significant advances in understanding of the molecular mechanisms of mammalian organogenesis and will help develop new strategies for tissue / organ regeneration.





