Everolimus Shows Benefit Against SEGA Tumors
Published July 2017 | Pediatric Neurology
While there is no “magic bullet” for tuberous sclerosis complex (TSC), researchers have demonstrated the power of everolimus to treat acute symptoms and, more significantly, reverse the effects of a genetic defect associated with the disease.
A study led by David Franz, MD, founding Director of the Tuberous Sclerosis Clinic here, highlights how effective the chemotherapy can be in treating subependymal giant cell astrocytoma (SEGA), which occurs in 15-20 percent of patients with TSC.
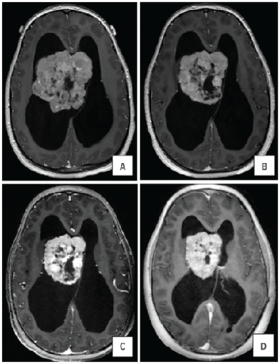
The paper describes treatment outcomes involving a 7-year-old patient who developed an exceptionally large SEGA. The tumor’s deep location in the brain made surgical resection a poor option.
Franz recommended starting everolimus. In 2.5 months, the tumor shrank from 209 cm3 to 58 cm3, a 72 percent reduction. Everolimus therapy continued, shrinking the tumor further. Surgical resection was not needed.
Franz also was the senior author of a 2016 study called EXIST-3 showing that everolimus not only treats seizures associated with the disease, but also targets the genetic mutation responsible for TSC—the overactivation of mammalian target of rapamycin (mTOR).
“The Food and Drug Administration has approved everolimus in the treatment of TSC symptoms including SEGA, renal involvement, lung involvement and, in May 2018, seizures,” Franz says. “What’s more, everolimus has the potential to treat any disease where the common thread is overactivation of mTOR, such as genetic brain malformations, epilepsy and autism."
Cincinnati Children’s is pushing traditional boundaries of how to treat children with TSC, focusing on early, aggressive therapy. An upcoming study will explore the benefit of using everolimus in infants who exhibit TSC symptoms.




