Expert Imaging Techniques, Medical Therapies and Surgical Procedures
We combine access to advanced imaging techniques with innovative medical and surgical interventions to create personalized treatment recommendations for your child’s complex needs.
Most infants with major aortopulmonary collateral arteries (MAPCAs) have underdeveloped pulmonary arteries. We promote the growth of native pulmonary arteries. This improves the future success of surgical repair and unifocalization—combining the abnormal MAPCAs with the existing pulmonary artery to form a functioning vessel.
Treatment Approach for MAPCAs
We use our deep experience and expertise to evaluate your child’s condition with the most advanced imaging tools available. We create a 3D map of the heart anatomy.
A team of specialists—including cardiologists, pulmonologists, radiologists and surgeons—reviews every patient case. They discuss the best interventional and surgical options and the need for additional specialists. This intense team-based review gives your child the highest level of care.
Superior Imaging and Diagnostic Evaluation
We spot most cases of MAPCAs on ultrasound during pregnancy. When you come to Cincinnati Children’s for your baby’s care, we complete a comprehensive diagnostic evaluation that may include:
- 2D echocardiography. This noninvasive test uses sound waves to share moving, real-time images of heart structures in action.
- Cardiac CT with 3D reconstructions. Data from a computed tomography scan creates a visual model of the heart anatomy.
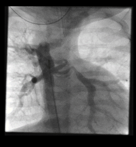
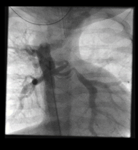
- Cardiac catheterization. An interventional cardiologist inserts a thin tube with a tiny camera through a blood vessel in the groin or arm and guides it to the heart. This shows images of the heart structures, vessels and any blockages.
- Virtual reality imaging. VR tools build an interactive, 3D model of the heart using your child’s imaging data from other diagnostic tests.
Our advanced imaging techniques clearly define the anatomical details of the major aortopulmonary collaterals and any existing heart anomalies.
Building the Treatment Plan
Our care team develops an individualized treatment strategy for your child using their imaging data.
We use 3D and virtual reality models to predict procedure outcomes. These tools help design the right cardiac catheterization interventions and the best surgical approach.



