Vismodegib Shows Promise in Recurrent Medulloblastoma Sonic Hedgehog Subgroup
Published August 20, 2015
Journal of Clinical Oncology
A drug that has helped some people with basal cell carcinoma also shows promise as an improved therapy for a subgroup of people with recurrent medulloblastomas.
Vismodegib provided longer periods of progression-free survival (PFS), but only when tumors belonged to a sonic hedgehog molecular subgroup (SHH-MB), according to findings from two phase II Pediatric Brain Tumor Consortium clinical trials.
Cincinnati Children’s brain tumor expert Maryam Fouladi, MD, MSc, was among the leading co-authors.
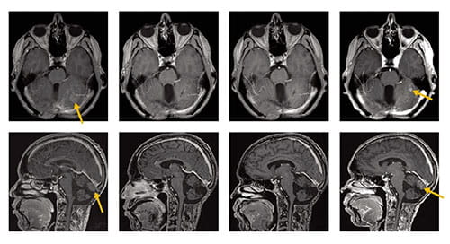
The combined study involved 43 adult and pediatric patients with recurrent medulloblastomas. Investigators conducted brain scans, gene sequencing tests and drug activity evaluations as participants received the drug.
Disease progression ultimately occurred in all patients. However, prolonged disease stabilization occurred in 41 percent of patients in the SHH-MB subgroup. The longest progression-free periods lasted from about six months to more than 15 months.
This finding is significant because the SHH subgroup accounts for about 30 percent of all medulloblastomas,” Fouladi says. “However, much more investigation is needed to address the challenges that also emerged in this study.
While the drug showed benefit for some adult patients and one child, this study lacked enough children with SHH tumors to make conclusions about pediatric benefit. In recent years, experts have learned that adult-onset medulloblastomas are much more likely to be in the SHH subgroup.
Even for those who did benefit, tumor growth ultimately resumed. Strategies to overcome drug resistance are essential. The study also underscores the importance of complete molecular profiling of medulloblastomas. Drugs such as vismodegib will live up to their promise only if their use focuses on precisely targeted populations, the study authors say.





