MR Imaging for PDFF Emerges as Non-Invasive Tool to Diagnose, Monitor Treatment of Fatty Liver Disease
Published July 2017 | Radiology
Researchers here have opened the door to wider use of non-invasive magnetic resonance (MR) imaging for measuring triglycerides in the liver, an alternative to invasive liver biopsies for diagnosing non-alcoholic fatty liver disease (NAFLD).
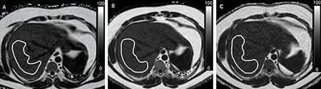
While comparing data from 24 patients who underwent three MR scans within a two-hour period, Andrew Trout, MD, and colleagues asked a basic question: Will MR scans produce similar results regardless of device manufacturer, field strength, and the reader who analyzed the results?
The answer was, “Yes.”
“These results show that technical differences are not a significant source of variability in proton density fat fraction (PDFF) measurements and suggest that MRI PDFF has promise technically as a biomarker for diagnosis and longitudinal imaging in fatty liver disease,” says Trout, the department’s Director of Clinical Research.
“In simple terms, it doesn’t matter what scanner is used and it doesn’t matter who processes that scan,” he says. “The results should be comparable.”
NAFLD and non-alcoholic steatohepatitis, typically linked with obesity, are the most common causes of chronic liver disease, affecting 30 to 40 percent of U.S. children and adults. Currently, diagnosis and severity staging require a biopsy, but Trout predicts this new technology will become the standard.
“MRI PDFF pulse sequences have significant advantages over biopsy, including the fact that they can cover large portions of the liver, providing a more global assessment of liver fat,” Trout explains.
The MRI pulse sequences used in the study are commercially available from multiple vendors. Variations between the Philips and GE units in this study, Trout says, “were minimal and likely clinically irrelevant, except at very low fat-fraction values.”





