Pediatric Secretin-MRI Project to Serve as Reference Guide for Years to Come
Published September 2018 | American Journal of Gastroenterology
For many years, the definitive method for diagnosing exocrine pancreatic insufficiency (EPI) has required placement of a tube into the duodenum with stimulation of the pancreas with secretin or cholecystokinin. Fluids are then suctioned from the intestine and sent for analysis.
In recent years, radiologists and gastroenterologists have been working to use magnetic resonance imaging (MRI) as a non-invasive alternative. MRI allows the fluid secreted into the intestine to be visualized and measured without placement of any tube. Until now, no reference set of normal data had been assembled for children.
In this study, Andrew Trout, MD, director of clinical research in the Department of Radiology and Medical Imaging, joined with Maisam Abu-El-Haija, MD, medical director of the Pancreas Care Center to build the reference data set.
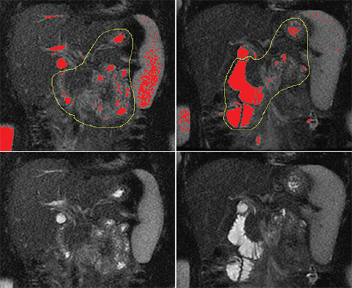
Their team recruited 50 healthy children, ages 6 to 16, to define normal pancreatic secreted fluid volumes and secretion rates, as measured by MRI, in response to secretin. Images were obtained before secretin administration and at one, five, 10 and 15 minutes afterward.
As expected, secretin response varied by participant age and size. The best predictor for secreted fluid volume proved to be body surface area (BSA). The team reports that each 1m2 increase in BSA was associated with a 38 ml increase in secreted fluid volume.
The team also defines population-based cut-offs for secretion to allow identification of children who secrete less fluid than would be expected for their size. While secreted volume of less than 43 mL might be considered abnormal for any child, the team defines an equation to calculate expected secretion for patient BSA.







