Novel Bile Acid Drug Halts Progression of Sclerosing Cholangitis in Mice
Published February 2016
Hepatology
An experimental compound shows promising signs in mouse models of halting the progression of primary sclerosing cholangitis (PSC), a potentially fatal liver condition that affects about one in 100,000 children in the U.S.
The study, published in February 2016 in Hepatology, was led by Alexander Miethke, MD, Division of Pediatric Gastroenterology, Hepatology and Nutrition.
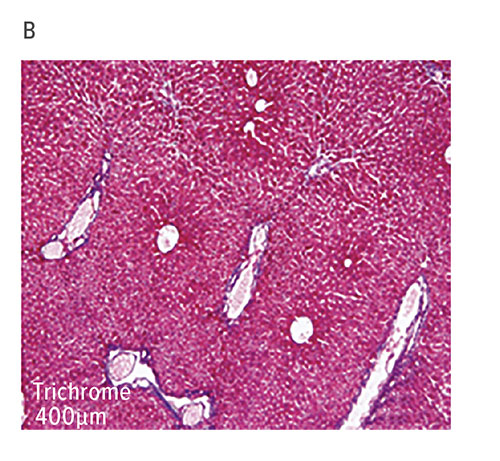
The study reports success with SC-435, a compound that inhibits the action of apical sodium-dependent bile acid transporter (ASBT). SC-435 prevents circulation of toxic bile acids that can lead to bile duct damage in the liver.
The research team started with a line of drug-resistant knockout mice. They fed the mice for two weeks with chow containing SC-435, then tracked bile acid and phospholipid levels.
The experimental bile acid therapy was developed by Lumena Pharmaceutical Inc. It has been tested at Cincinnati Children’s for a variety of cholestatic liver diseases.
“Treatment with SC-435 has a dramatic effect, not simply by reducing liver biochemistries like plasma levels for ALT or bilirubin, but also by actually halting progression of the disease,” Miethke says. “Untreated mice progressed rapidly to fibrosis, exhibited classic signs of liver inflammation and bile duct damage and lost weight. Treated mice had nearly normal livers, did not develop fibrosis and gained weight.”
The finding, he says, can serve as a pre-clinical model to pursue clinical studies in children with PSC.
“There is no other treatment for this condition except liver transplantation. Even if transplanted, these children have a small risk for recurrence of the disease,” Miethke says.
Replicating the success of SC-435 treatment in humans, he says, “would be quite amazing, especially if it shows that delivering the treatment early in the disease can prevent the progression of fibrosis.”





