Breakthrough Therapy Improves Life for Children with LRBA Deficiency
Published July 24, 2015
Science
Abatacept, a drug primarily used to treat arthritis, mimics the function of the CTLA4 protein. In children with this rare condition, the drug improved lung function and reduced other autoimmune symptoms.
For many years, this disease was so rare it barely had a name. As far as scientists could tell, it affected only a few hundred children and adults worldwide.
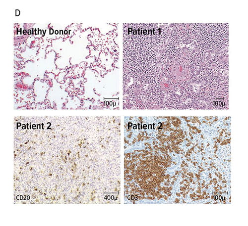
These children were living with a complex set of symptoms that included repeated respiratory tract infections, frequent gastrointestinal problems, and a variety of autoimmune complications.
By process of eliminating other diagnoses, doctors had placed these children under an obscure umbrella disease category known as common variable immune deficiency (CVID). However, unlike the larger numbers of CVID cases that tend to emerge in adulthood, this tiny group became sick as young children. They also tended not to respond well to established CVID treatments, such as immunoglobulin replacement therapy and antibiotics.
Some did not survive to reach adulthood.
Then in 2012, researchers discovered a shared genetic mutation among these children that finally led to giving the disease a more precise name: LRBA deficiency. Now, scientists from Cincinnati Children’s, the National Institute of Allergy and Infectious Diseases (NIAID), and other collaborating institutions may have figured out how to control it.
The drug abatacept, already FDA-approved for treating rheumatoid arthritis, has been shown to reverse deadly symptoms of LRBA deficiency. Not just in fruit flies or mice, but in children. The team’s findings appeared July 24, 2015, in Science.
Obtaining results took years
Michael Jordan, MD, and colleagues found that LRBA deficiency interferes with cytotoxic T lymphocyte-associated protein 4 (CTLA4). This important protein acts as a brake that prevents immune cells from becoming over-active. Children with LRBA deficiency have dramatically reduced levels of CTLA4 protein.
Abatacept mimics the function of this protein. When given to six children with LRBA deficiency, in an off-label, compassionate use basis, all of the children demonstrated improved lung function and/or reduced autoimmune symptoms. A seventh patient was treated with hydrochloroquine and reported similar—but less extensive—improvements.
Treatment periods have ranged from six months to eight years.
“We have seen some remarkable responses,” Jordan says. “Some of the children we treated had failed all other approaches. Yet on this medication, they have managed to live longer, mostly healthy lives.”
One of Jordan’s early patients, who was near death as a young child, has grown to adulthood, completed high school and has a job. He still has symptoms that require regular treatment, but they are under control.
Improved technology helped blaze the trail
Doctors tried abatacept on an educated hunch. Experience with using the drug in other autoimmune conditions suggested it might have a beneficial role.
It was only after whole-exome sequencing methods became available that investigators were able to find enough of these children to study, analyze them, and ultimately confirm why the drug seems to help.
“These findings provide a clear rationale for a larger prospective clinical trial that could further refine the most effective long term treatments,” Jordan says.
Where might this new pathway lead?
For children known to have LRBA deficiency, doctors in the U.S. already are prescribing abatacept as an off-label use. That may be enough to save lives. Ideally, however, the drug should be tested across varying ages and stages of disease, Jordan says.
Meanwhile, Jordan and colleagues plan more studies to determine whether other immune disorders are connected to low levels of CTLA4 protein. Work also continues to evaluate hydrochloroquine as an alternative treatment option. This drug, used to treat lupus, is much less expensive than abatacept.






