For Some, H1N1 Flu Triggers Fatal Reactive HLH
Published November 23, 2015
Journal of Infectious Diseases
Whole-exome sequencing of samples from 16 fatal cases of H1N1 influenza reveals that some deaths may have occurred because the virus triggers a rare form of immune system disease.
This discovery comes from a team of rheumatology and human genetics experts at Cincinnati Children’s who worked with colleagues from the University of Alabama at Birmingham, Children’s of Alabama and the University of Michigan.
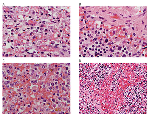
The team, led by Grant Schulert, MD, PhD, and Alexei Grom, MD, reports that those who died carried mutations in several genes linked to hemophagocytic lymphohistiocytosis (HLH) and macrophage activation syndrome (MAS). In fact, the flu victims studied met 44 percent of the criteria for HLH and 81 percent of the criteria for MAS.
“Our data suggest some people may have a genetic predisposition to develop severe H1N1 influenza, and critically ill H1N1 patients should be carefully evaluated for secondary HLH and MAS,” Schulert says. “The question is whether immunosuppressive therapy may benefit some patients with life-threatening influenza infection.”
HLH can occur as an independent, directly inherited disease. However, some studies also have detected the devastating cascade of HLH symptoms occurring as a reaction to certain viral and fungal infections as well as rheumatic diseases. This study adds H1N1 influenza to that growing list.
This new understanding suggests that it may be possible to develop a genetic screening test for flu victims that could predict which people are most likely to suffer dangerous HLH reactions. Such a test could help clinicians save lives through earlier, targeted interventions.
This study examined past cases from a single state. Looking ahead, the authors recommend conducting a larger prospective study to determine if genomic testing can predict outcomes during influenza and other types of infections.






