Inhibiting p38α Shows Early Promise in Preventing Fibrosis After Heart Injury
Published Aug. 8, 2016
Circulation
Inhibiting the function of the protein kinase p38a shows early promise as a potential treatment for preventing excess fibrosis after acute heart injury, according to a novel analysis of mouse models.
When acute heart injury occurs, a fibrotic healing response follows. This collagen-rich scarring initially serves a protective purpose, but can worsen heart disease if inappropriately sustained. Now scientists have identified a key element of the molecular process involved in fibroblast formation.
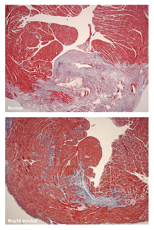
In a study led by Jeffery Molkentin, PhD, and Jennifer Davis, PhD, (a former member of Molkentin’s laboratory, now at the University of Washington), researchers used a conditional Mapk14 allele to delete the p38a encoding gene in mouse models, specifically in cardiac fibroblasts.
The loss of Mapk14 blocked cardiac fibroblast differentiation into myofibroblasts and the ensuing fibrosis in response to ischemic injury. The team also observed a similar inhibition of myofibroblast formation in a dermal-wounding model. Further mechanistic experiments revealed that p38 transduces cytokine and mechanical signals into myofibroblast differentiation through the transcription factor serum response factor and the signaling effector calcineurin.
“Our results are the first to define a fibroblast-specific role for MKK6-p38 signaling in vivo as an inducer of programmed myofibroblast differentiation and cardiac fibrosis,” Molkentin says. “The identification of a nodal role for p38 in transducing signals within the fibroblast suggests a pharmacologically tractable approach for anti-fibrotic therapies.”
Several p38 inhibitors already exist, some of which broadly blunt fibrotic remodeling in mouse models of heart, lung, and skeletal muscle disease. While some of these inhibitors may be attractive to consider for treating human disease, the authors caution that more study will be needed to identify the optimal timing of anti-fibrotic therapies to avoid interfering with initial wound healing.




