Schulert Lab
Current Projects

Current Projects

Current projects #1: Genomic approaches to refractory systemic juvenile idiopathic arthritis and macrophage activation syndrome.

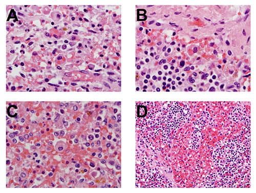
Patients with systemic JIA have significant clinical heterogeneity as regards their disease course and complications. However, the genetic basis of the variability is largely unknown. Approximately 10-30% of systemic JIA patients experience macrophage activation syndrome. Interestingly, previous work has found numerous variants in genes associated with the phenotypically similar familial hemophagocytic lymphohistiocytosis in children with systemic JIA (Image 1), and these variants were significantly enriched in patients who experienced MAS. The objective of this project is to identify rare functional genetic variants in patients with distinct clinical subtypes and severe manifestations of systemic JIA. This project will utilize genomic approaches in a large cohort of systemic JIA patients with diverse clinical subtypes to identify rare genetic variants, including those of modest effect and incomplete penetrance, which collectively may lead to disease phenotypes. This work will also examine non-coding genetic variants, which we have recently shown can be associated with MAS (Image 2). Further understanding of the genetic basis of MAS in systemic JIA will allow for a personalized medicine approach to the management of this disease, including personalized disease surveillance and preventative treatments.

Funding: Cincinnati Children’s Research Foundation Academic Research and Teaching (ARC) Grant; Systemic JIA Foundation

Current projects #2: Pathogenesis of systemic juvenile idiopathic arthritis-associated lung disease (SJIA-LD).

Severe lung disease is an increasingly recognized life-threatening complication of systemic juvenile idiopathic arthritis (SJIA-LD), representing a distinct and highly inflammatory interstitial lung disease that affects as many as 1 in 20 children with SJIA (Image 3). While the etiology of SJIA-LD is unknown, it is strongly linked to macrophage activation syndrome, (MAS), episodic systemic hyperinflammation with SJIA that is driven by interferon gamma (IFN). We recently reported that SJIA-LD and MAS share prominent features of IFN activation, supporting a key role for this pathway in the pathogenesis of SJIA-LD. However, the mechanisms by which IFN activation drives pulmonary inflammation in SJIA-LD is unexplored. In addition, the widespread use of anti-IL-1 therapy for SJIA has been linked to markedly increased incidence of SJIA-LD including distinct clinical features and development of pulmonary alveolar proteinosis (PAP). Our proposed studies provide a critical step to identify the mechanistic causes of SJIA-LD, a necessary step towards developing targeted treatment strategies for and ultimately to prevent SJIA-LD. We hypothesize that persistent IFN pathway activation leads to alveolar macrophage dysfunction and lung inflammation in SJIA-LD and is amplified by anti-IL-1 biologic therapy. To study the mechanisms of SJIA-LD, we will utilize overlapping approaches in our established mouse model system to directly test effects of persistent IFN on pulmonary inflammation, and the requirement of IL-1 signaling for alveolar macrophage functional phenotypes. In parallel, we will define IFN-driven functional polarization phenotypes of alveolar macrophages in children with SJIA-LD. We will determine whether persistent IFN activation is the key driver of lung inflammation during MAS. We will identify mechanisms of alveolar macrophage reprogramming in experimental MAS. We will define IFN-driven alveolar macrophage populations in children with SJIA-LD. We anticipate that the proposed experiments will define the function of persistent IFN activation and IL-1 blockade as drivers of lung inflammation and alveolar macrophage dysfunction in MAS and SJIA-LD. Together these studies will advance our long-term goal of identifying the causes of and developing novel treatment approaches for SJIA-LD.

Funding: R01-AR079524

Current projects #3: Clinical disease progression and validation of surrogate biomarkers and patient-reported outcomes for SJIA-LD.

Chronic lung disease in children with systemic juvenile idiopathic arthritis (SJIA-LD) is an increasingly recognized and life-threatening disorder for which there are no proven effective treatments. Although research is urgently needed to define optimal treatments for SJIA-LD, key knowledge gaps remain which are barriers to future research: definitions of SJIA-LD cases and natural history, surrogate biomarkers of clinical disease progression, and disease-specific patient-reported outcomes (PROs). Our objectives are to define SJIA-LD, its clinical disease progression, and surrogate biomarkers, to accelerate future research in this disease. We have developed preliminary outcome measures, identified serum inflammatory mediators and markers of lung injury in SJIA-LD patients, and piloted surveys that identified symptoms specific to SJIA-LD that can be measured using validated PROs. To operationalize these preliminary findings, we have launched a multicenter, prospective cohort study of SJIA-LD, which to date has enrolled 25 patients through the Childhood Arthritis and Rheumatology Research Alliance (CARRA) Registry. We hypothesize that this SJIA-LD study will result in accurately defining both cases and disease progression of SJIA-LD, and validate surrogate biomarkers of clinical disease progression and LD-specific PROs. In this study, we will enroll SJIA-LD patients across the CARRA network, and prospectively collect clinical data, biosamples and PROs over 2 years of follow-up. We will determine the clinical disease progression of SJIA-LD by collecting LD features at baseline and longitudinally, and use this data to support an expert consensus-derived definition of SJIA-LD. We will validate biomarkers of inflammation and lung injury in children with SJIA-LD by determining longitudinal (baseline, 6-months, and end-of-study) levels of cytokines, chemokines and lung injury markers, their responsiveness to change, and correlating them with clinical disease activity. We will utilize PRO measures that reflect quality of life and lung disease symptoms in children with SJIA-LD by tracking changes in existing measures captured through the CARRA Registry, as well as in previously-validated lung disease-specific instruments which measure patient-reported SJIA-LD symptoms. Our proposed studies will leverage the CARRA Registry and infrastructure for a needed longitudinal assessment of clinical disease features, surrogate biomarkers of disease activity, lung damage and PROs in a prospective cohort of children with SJIA-LD. Successful completion of the proposed aims are necessary to accelerate future clinical research, including interventional studies, and advance our long-term goals to treat and prevent SJIA-LD.

Funding: R01-AR084717

Current projects #4: Pediatric Rheumatology Tissue Repository.

A robust and rigorous infrastructure for biospecimen collection is essential for accelerate innovative translational research projects in pediatric rheumatology. The Pediatric Rheumatology Tissue Repository (PRTR) was established in 1996 and has been continuously supported by NIAMS funding to maximize the value of sample collections for translational research. Since 2017, the PRTR has served as the US biobank for the Childhood Arthritis Rheumatology Research Alliance (CARRA) Research Registry, the largest longitudinal study of pediatric rheumatic diseases in North America. The goals of the PRTR includes facilitating the design and management of large-scale sample collections specific to investigator-initiated translational research; ongoing collection of high value biospecimens (new-onset disease and leftover fluid and tissue), and support for pilot biosample collections by early-stage investigators with innovative research directions but who lack laboratory infrastructure; and expanding the scope of biospecimen collection for pediatric rheumatic disease research nationally. The PRTR will support development and implementation of advanced biospecimen collections suitable for emerging genomic approaches, particularly from non-blood tissues including ultrasound-guided synovial and kidney biopsy, bone marrow, bronchoalveolar lavage (BAL), and lung tissue. In parallel, the partnership between the PRTR and CARRA will be leveraged to support protocol development, study design assistance, site training, and infrastructure development for advanced processing at individual CARRA Registry sites. Finally, the PRTR will optimize availability, access to and use of biosample collections. Taken together, the PRTR will provide a centralized, high quality, valuable resource for biospecimen collection, processing, and storage to support the Research Community at CCHMC and nationally. These resources will accelerate translational research initiatives to advance the understanding of pediatric rheumatic diseases and lead to new therapies for these diseases.

Funding: P30-AR070549, Childhood Arthritis and Rheumatology Research Alliance

Representative examples of hemophagocytosis characterized by macrophages with engulfed red blood cells in lymph node (A and B) and spleen (C and D) in patients with macrophage activation syndrome.

Fig. 1 - Click for caption & to enlarge.

Genomic view of novel UNC13D intronic variant c.117+143A>G

Fig. 2 - Click for caption & to enlarge.

Arthritis&Rheumatology book cover.
Fig. 3 - Click to enlarge.