Photo of { Stephanie L. Merhar, MD, MS}

Stephanie L. Merhar, MD, MS


  • Attending Neonatologist, Perinatal Institute, Neonatology and Pulmonary Biology
  • Research Director, NICU Follow Up Clinic
  • Principal Investigator, Cincinnati site, NICHD Neonatal Research Network
  • Professor, UC Department of Pediatrics
In my practice, I listen carefully to families. I know that I don't have all of the answers and that parents know their child best.
Stephanie L. Merhar, MD, MS

About

Biography

Since I was 12 years old, I knew that I wanted to be a pediatrician. What could be better than being a doctor who gets to work with kids? During my pediatric residency at Cincinnati Children’s, I was drawn to neonatology because it offered me the opportunity to care for acutely ill babies and build long-term relationships with families through the neonatal intensive care unit (NICU) follow-up clinic.

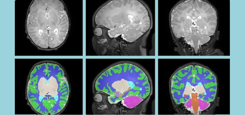
As a neonatologist who cares for sick and preterm babies, I have a special interest in babies with brain injury and those exposed to substances such as opioids.

In my practice, I listen carefully to families. I know that I don't have all of the answers and that parents know their child best. In the NICU and our follow-up clinic, we collaborate with families and other care providers, such as neurologists, pulmonologists, therapists, nutritionists and nurses.

The research I do focuses on how the newborn brain can bounce back from insults including brain injury and substance exposure. I am also interested in using MRI as a tool to predict and improve the outcomes of term and preterm babies with brain injury. I am honored every time someone is interested in the research my team is doing.

MD: University of Pennsylvania, Philadelphia, PA, 2005,

Residency: Pediatrics, Cincinnati Children's Hospital Medical Center, Cincinnati, OH, 2008,

Fellowship: Neonatology, Cincinnati Children's Hospital Medical Center, Cincinnati, OH, 2011,

Certifications: Pediatrics, 2008; Neonatal / Perinatal Medicine, 2011

Interests

Infants with perinatal brain injury; neonatal follow up.

Interests

Follow-up outcomes; advanced neuroimaging to predict outcomes in infants with brain injury and prenatal substance exposure

Additional Languages

French

Insurance Information

Cincinnati Children's strives to accept a wide variety of health plans. Please contact your health insurance carrier to verify coverage for your specific benefit plan.

View Insurance Information

Publications

Racial and ethnic disparities in environmental chemical exposures and hypertensive disorders of pregnancy: The ECHO-wide cohort study. Liu, H; Kress, AM; Yu, EX; Ning, X; Ghassabian, A; Kahn, LG; Mehta-Lee, S; Brubaker, S; Alshawabkeh, A; Meeker, J; Norman, G; Carignan, C; Zhao, Q; Trasande, L. Environmental Pollution. 2026; 392:127452.

Diffuse white matter abnormality is independently predictive of neurodevelopmental outcomes in preterm infants. Derbie, AY; Tamm, L; Kline-Fath, B; Li, H; Harpster, K; Merhar, SL; He, L; Altaye, M; Parikh, NA. Archives of Disease in Childhood: Fetal and Neonatal Edition. 2026; 111(2):F115-F122.

Expectant Management vs Medication for Patent Ductus Arteriosus in Preterm Infants: The PDA Randomized Clinical Trial. Laughon, MM; Thomas, SM; Watterberg, KL; Kennedy, KA; Keszler, M; Ambalavanan, N; Davis, AS; Slaughter, JL; Guillet, R; Colaizy, TT; Do, B; Chang, S; Higgins, RD; Walsh, MC. Journal of the American Medical Association (JAMA). 2026; 335(7):588-599.

Maternal Area of Residence and Outcomes for Mother-Infant Dyads with Perinatal Opioid Exposure. Pahl, A; Hu, Z; Young, LW; Ramsey, KW; Whalen, BL; Akshatha, A; Benninger, KL; Fung, CM; Howell, MP; Markee, S; Ounpraseuth, ST; Merhar, SL; Devlin, LA; Macmillan, KDL. American Journal of Perinatology. 2026; 43(3):383-395.

Antenatal Exposure to Medication for Opioid Use Disorder and Infant Outcomes in the Eat, Sleep, Console for Neonatal Opioid Withdrawal Randomized Controlled Trial. Beauman, SGS; Hu, Z; Rice, W; Devlin, L; Merhar, SL; Fung, CM; Brown, J; Osman, A; Pahl, A; Ramsey, KW; Greenberg, RG; Smith, PB; Young, LW; Maxwell, JR. Journal of Pediatrics. 2026; 289:114859.

Hydrocortisone in Preterm Infants and School-Age Functional Outcomes: Follow-Up of a Randomized Clinical Trial. Demauro, SB; Kirpalani, H; Hintz, S; Watterberg, KL; Watson, V; Lowe, J; Shankaran, S; Chawla, S; Vohr, B; Msall, ME; Zanger, D; Reynolds, AM; Carlson, M; Das, A. JAMA pediatrics. 2026; 180(2):134-143.

MRI, General Movements, and Neurological Examination for Early Cerebral Palsy Diagnosis in Preterm Infants. Jain, S; Harpster, K; Merhar, S; Kline-Fath, B; Altaye, M; Illapani, VSP; Peyton, C; Parikh, NA. Pediatrics. 2026; 157(2).

Severity of punctate white matter lesions in preterm infants: antecedents and cerebral palsy prediction. Mahabee-Gittens, EM; Illapani, VSP; Kline-Fath, BM; Harpster, K; Magnino, A; Merhar, SL; Parikh, NA. Pediatric Research. 2025; 98(6):2220-2227.

Tobacco and cannabis use among pregnant women with prenatal opioid use. Mahabee-Gittens, EM; Mack, N; Bann, CM; Newman, JE; Zhao, J; Setchell, KDR; Stone, L; Ambalavanan, N; Peralta-Carcelen, M; Demauro, SB; Poindexter, BB; Limperopoulos, C; Davis, JM; Merhar, SL. Addictive Behaviors. 2025; 170:108442.

Racial and ethnic differences in prenatal exposure to environmental phenols and parabens in the ECHO Cohort. Bloom, MS; Upadhyaya, S; Nzegwu, AW; Kuiper, JR; Buckley, JP; Aschner, J; Barr, D; Barrett, ES; Bennett, DH; Dabelea, D; Sathyanarayana, S; Starling, AP; Stroustrup, A; Watkins, DJ. Journal of Exposure Science and Environmental Epidemiology. 2025; 35(6):992-1002.

From the Blog

Newborn Brains Are Smaller When Exposed to Opioids During Gestation
Perinatal

Newborn Brains Are Smaller When Exposed to Opioids During Gestation

Stephanie L. Merhar, MD, MS4/10/2025

In Utero Opioid Exposure Impacts Fetal Brain Size and Development
Imaging Sciences

In Utero Opioid Exposure Impacts Fetal Brain Size and Development

Stephanie L. Merhar, MD, MS, Usha D. Nagaraj, MD9/28/2022

$8M Grant Funds Long-Term Opioid Exposure Study
Perinatal

$8M Grant Funds Long-Term Opioid Exposure Study

Stephanie L. Merhar, MD, MS10/6/2021

Patient Ratings and Comments

All patient satisfaction ratings and comments are submitted by actual patients and verified by a leading independent experience management company, Qualtrics. Patient identities are withheld to ensure confidentiality and privacy. Only those providers whose satisfaction surveys are administered through Cincinnati Children’s Hospital Medical Center are displayed. Click here to learn more about our survey

Loading ...
Loading ...