Projects

Studies in the Kramer Lab focus on understanding what factors might worsen CF lung disease. Our projects investigate genetic modifiers, inflammation, asthma-like symptoms, and environmental factors that impact people with CF. The goal of our work is to improve the lives of children with CF by identifying disease modifiers and developing new therapies.

Understanding how TGFβ Worsens Cystic Fibrosis Lung Disease

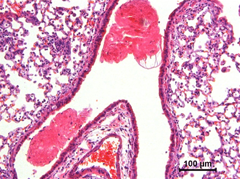
An important goal of our lab is to better understand cystic fibrosis (CF) lung disease variability. CF lung disease is characterized by airway obstruction, infection, inflammation, and tissue remodeling. Studies in animal models of CF have shown that there are abnormalities in airway mucus, inflammation, and smooth muscle structure from birth. We believe that this means we must intervene early in life to give children with CF the healthiest possible lungs.

One possible target for new CF therapies is Transforming Growth Factor beta (TGFβ), a naturally occurring inflammatory molecule. People who naturally make more TGFβ because of their inherited genetics have worse CF lung disease. It is not clear how TGFβ worsens CF lung disease.

In our lab, we use a range of models to study the effects of TGFβ in CF. Our studies in a mouse model of CF show that a low dose of TGFβ in the lung causes abnormal lung function and triggers harmful signaling pathways involved in lung remodeling and inflammation. Other studies in our lab use lung rinsing’s obtained during bronchoscopy to look at the levels of TGFβ in very young children with CF and in teenagers with CF who also have asthma. We hope these studies will lead to targeted therapies for patients with CF to improve their early lung health and preserve lung function.

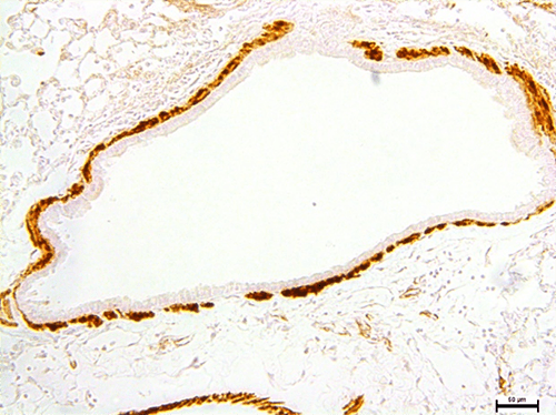
Airway Smooth Muscle Dysfunction in Cystic Fibrosis

One understudied cause of lung disease variability in CF is airway smooth muscle dysfunction. People with CF often develop an “asthma-like” disease with excessive airway constriction in response to stimuli. This can cause worsening lung function, coughing, and increased rate of pulmonary exacerbations.

In our lab, we use animal and cell culture models to better understand how loss of CFTR function triggers alterations in airway smooth muscle behavior. We have found that airway smooth muscle cells in CF react abnormally to TGFβ, becoming more sensitive and more likely to spasm.

We are also interested in how environmental factors, including allergens like house dust mite or pollutants such as diesel exhaust particles, might trigger excessive airway smooth muscle spasming in cystic fibrosis.

Altered Inflammation in Cystic Fibrosis

Excessive inflammation in CF likely begins at birth and can cause lung injury. As we understand more about CF lung disease, we are beginning to understand that these problems begin quite early in life and can be impacted by a child’s environmental exposures. Over half of all children with CF will have bronchiectasis, a form of airway scarring, by age 4 years.

Using animal models, cell cultures, and human bronchoalveolar lavage fluid, our lab seeks to better understand and treat these early drivers of inflammation in CF. Stimuli such as TGFβ and house dust mite can elicit a hyperactive and damaging immune response in CF models. Better understanding of the mechanism driving this inflammation in CF will allow us to treat it more effectively and prevent long-term lung damage in children with CF.