Dey Lab
Reproductive Cancer Projects

Reproductive Cancer Projects

Molecular and genetic basis of epithelial ovarian cancer with special reference to prostaglandin-PPAR signaling.

Epithelial ovarian cancers (EOC) are marked by rapid solid tumor growth and spread, resulting in a high patient mortality rate. Indeed, EOC is the fourth-leading cause of cancer death in the United States. Little is known about the early stages of the disease and the underlying causes, making it difficult to diagnose EOC in a timely manner. Cox-2 is implicated in a variety of cancers, but until recently, the role of Cox-1 was unclear. We showed that human EOC overexpresses Cox-1, generating PGI2 and PGE2 as major prostanoids. Similarly, mouse models of EOC exhibit overexpression of Cox-1 and PGI2.

Both PGI2 and PGE2 can interact with PPARδ, which has been implicated in tumorigenesis (although the pathway is unclear). Our lab has shown that PPARδ is highly expressed in both mouse and human EOC tumors and that inhibiting PPARδ activity can reduce tumor growth. We also demonstrated that aspirin, a nonselective Cox inhibitor, compromises PPARδ function, providing a possible treatment option.

miRNA and Cox-2 regulation in uterine biology and cancer.

It is estimated that there are more than 1,000 microRNAs (miRNAs) in the human genome, responsible for regulating 30 percent of protein-coding pathways. miRNAs regulate cell growth and differentiation, and have been implicated as causal agents in major diseases such as cancer. In 2007, our lab published the first paper examining the role of miRNAs in the uterus. Using experiments in pregnant mice and HeLa cells derived from human cervical carcinoma, we demonstrated the presence of two miRNAs regulating Cox-2 in the uterus during implantation. These experiments have provided a springboard for expanded study of the roles miRNAs play in both pregnancy events and female reproductive cancers.

PTEN and uterine carcinoma: conditionally gene-deleted mouse models.

Endometrial cancer (EMC) affects 40,000 US women per year, leading to 7,000 deaths. Its etiology is not fully understood. Genetic mutations affecting the phosphatase and tensin homologue (PTEN) gene are observed in the majority of EMC type I cases, while genetic mutations of p53 are found in the majority of EMC type II cases. Mouse models are invaluable in studying the development and progression of the disease, but until recently models were imprecise. Homozygous mutation of PTENin mice results in embryonic lethality, though 20 percent of heterozygous models expressed EMC by 10 months. p53 mutant mice develop many types of cancer, making it difficult to specifically study EMC. In 2008, Takiko Daikoku, in our division, created mouse models with conditional deletion of endometrial PTEN, conditional deletion of endometrial p53, and combined deletion of both genes. Those mouse models present pervasive EMC at a young age, without the presentation of other cancers. This has allowed for more targeted studies of the factors leading to EMC development and progression.

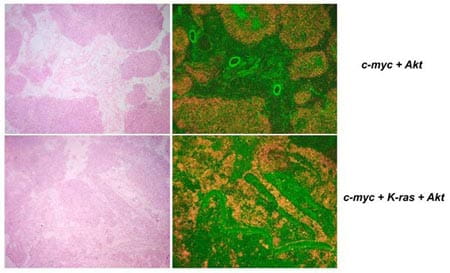
Cox-1 is preferentially expressed in oncogene-induced mouse epithelial ovarian cancer.
Project 1 - click to enlarge
reproductive-visual2-450-endometrial
Project 3 - click to enlarge